Case description
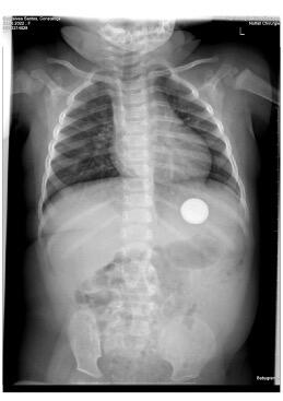
An 11-month-old girl is presented at the emergency department 3 hours after ingesting a button shaped battery, without any symptoms. On physical examination the patient is completely fine without any abnormalities. An X-ray of the abdomen was performed and shows the image below.
Therapeutic option
- Refer the patient to a gastroenterologist to remove the battery immediately?
- Refer the patient to a gastroenterologist for the next available appointment?
- Wait and see?
- Surgery?
Case Solution
The correct answer is: 3
We discussed the case with our paediatrician on call who recommended a wait and see strategy. We instructed the parents that if the child had any of the following symptoms: abdominal pain, nausea, vomiting, loss of appetite, then they should return to the emergency department immediately. The parents were also advised to monitor the stool. The parents were told to return to the hospital again after 4 days for another Xray in case the battery didn't appear via natural way.
The patient ended up presenting herself to the outpatient clinic 4 days following the ingestion of the battery, still asymptomatic. A new X-ray of the abdomen showed that the battery hadn’t moved. We noticed the battery still in the stomach, therefore we referred the patient to the gastroenterologist for the next available appointment for an endoscopic removal of the button battery from the stomach. A few days later, another X-ray showed the battery had moved to the intestines. Subsequently the endoscopy was cancelled, and the battery came out via natural way within a few days.
According to the literature an immediate endoscopic removal is to be considered when the battery is found within the esophageous to prevent local pressure necrosis, heavy metal toxicity and electric injury (see algorithm below).
- Mubarak A et al. Diagnosis, Management, and Prevention of Button Battery Ingestion in Childhood: A European Society for Paediatric Gastroenterology Hepatology and Nutrition Position Paper. J Pediatr Gastroenterol Nutr. 2021 Jul 1;73(1):129-136. doi: 10.1097/MPG.0000000000003048





